友谊医院预约专家CT加急-北京友谊医院做ct预约多久
北京医院办理住院:18311458123
1、2022年北京友谊医院五一劳动节期间友谊医院预约专家CT加急,西城院区和通州院区5月1日门诊均停诊一天,但急诊24小时开放其他时间部分门诊有安排 具体门急诊工作安排如下西城院区门诊工作安排4月24日周日按周二门诊出诊5月1日周日门诊停诊一天4月30日周六5月2日至5月4日周一至周三上午半日门诊,专家+普通神经外科门。
2、北京友谊医院服务号患者可通过关注“北京友谊医院服务号”进行在线预约挂号北京114预约挂号拨打114电话或使用114预约挂号平台进行预约挂号时间每日15点放第15天号源,请患者提前规划好就诊时间,按时进行预约挂号特别提醒北京友谊医院已取消线下挂号,全面实行预约就诊制度所有患者必须提前网上预约。
3、友谊医院服务号前几个月影像刷新后无法查看,可能由以下原因导致,可按步骤排查解决1 检查报告未完成上传复杂检查如CT核磁的影像报告生成需数小时至数天,若检查时间较短,可能因报告未上传导致无法查看建议等待2448小时后重试,或通过服务号内“咨询”功能联系医院确认报告进度2 网络或服。

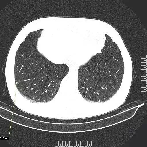
4、友谊医院影像科专家分析最全面,认为按指南应3个月随访,但患者年轻且结节位置易切除,可择期手术否认胸膜牵拉仅靠近,术后23个月可恢复正常生活手术治愈率高,无需过度焦虑人民医院主治大夫认为消炎药无法快速消退结节,考虑原位或微浸润腺癌,建议复查CT排除其他结节后证实存在3mm纯。
5、在成都能开展PETCT检查的机构分为公立医院民营医院和第三方影像中心三类,具体名单及补充信息如下一公立医院华西医院四川省人民医院四川省肿瘤医院成都军区总医院成都市第五人民医院特点医疗资源权威,但预约周期较长,适合非紧急情况的患者费用结构包含扫描费及耗材费,需按流程分项支付图示为。
6、北京友谊医院用户体验整体较差,存在流程繁琐沟通不畅设施维护不佳等问题具体如下流程繁琐且指引不清晰输液流程复杂患者确诊低频突发性耳聋后,需静脉注射金纳多,但社区医院要求先在友谊医院输过一次液才能接收患者多次往返门诊急诊社区医院,医生却未明确告知具体流程,仅建议“多确认几个。
7、成都影和医学影像诊断中心地址四川省成都市成华区锦绣大道5333号鹏瑞利国际医疗健康中心6号门检查价格9800元设备配置设立PETCTMRICTDR检查室,是西南地区较早的第三方医学影像诊断中心,具备医保资质四川省人民医院友谊医院PETCT中心地址四川省人民医院友谊医院检查价格9800元设备配置。
8、确保患者得到及时救治医学影像科医学影像科提供X光CTMRI等医学影像检查服务,为临床诊断提供重要依据医学检验科医学检验科进行各种临床检验,为医生提供准确的检验数据,辅助诊断清远友谊医院以其多元化的科室设置专业的医疗团队和先进的医疗设备,致力于为患者提供全方位的医疗保障。
9、能医院都有值班的,该作的检查还是能做的大。
10、LightSpeed CT750 HD 宝石CTLightSpeed CT750 HD提供世界上最快的探测器,全面提高清晰度,能谱栅成像,使用以往CT一半剂量高清CT扫描仪-宝石CTLightSpeed CT750 HD通过友谊医院预约专家CT加急了美国食品药品监督管理局的认证,宝石CT设定了CT成像的新标准,在提高患者检查安全性的前提下,成像更为清晰和准确,提高了临床。

11、推荐选择到当地三甲医院进行诊断治疗因为三甲医院履行对下级医疗机构技术指导是医院的职责和义务,建立经常性技术指导与合作关系,帮助开展新技术新项目,解决疑难问题,培养卫生技术和管理人才完成当地卫生行政部门的卫生或支农工作。
12、出结果时间与成都军区总医院相似,大概需要一天左右的时间挂号科室肿瘤内科成都锐视医学影像诊断中心该中心也提供PETCT检查服务,但具体地址和价格未在参考文章中提及预约方式未提供,可能需要直接联系中心或访问其官网查询出结果时间同样需要一天左右挂号科室肿瘤内科四川友谊医院该。
13、CT检查做腹部CT检查前必须禁食禁水,以免形成伪影,影响CT图像质量其他部位的CT检查则不必禁食禁水选择性心血管造影检查前3~4小时禁食认真练习医生教给的检查中所需要做的动作,如吸气闭气,以配合检查胆道造影做口服造影剂检查时,检查前1天中午要吃脂肪餐,使胆囊内的胆汁排空。
14、根据友谊医院预约专家CT加急你说的情况,病理比CT更准确,CT只是个影像图片,通过图片分析病变性质,而病理检查是目前的金标准可以排除肺癌发烧可能是炎性改变所致,不像是结核,因为结核CT完全能准确诊断至于呼吸困难则是病人长期吸烟致慢性支气管炎和慢性阻塞性肺气肿所致,至于休克则可能是呼吸困难所致或是其他有心脏方面。
15、短暂逃避五一小长假带孩子出去玩,试图忘记烦恼面对现实假期结束后,继续挂号寻求治疗建议五一结束以后,我又开始挂号寻求更多的治疗建议我挂了广安门中医院的号拿中药,又挂了友谊医院放射科的号,希望能从多方面了解是继续随访还是果断手术我内心充满了期待,希望能出现奇迹,下次检查的时候结节能消失继续寻求建议 广安门中。
相关文章
发表评论
评论列表
- 这篇文章还没有收到评论,赶紧来抢沙发吧~